Utjecaj dude na jezično-govorni razvoj
Duda varalica omiljen je predmet većine male djece jer ima umirujući učinak. Međutim, ako ne kontroliramo učestalost i trajanje uporabe dude varalice, mogu se pojaviti negativne posljedice na djetetov razvoj. Produljeno sisanje dude varalice može negativno utjecati na raznolikost faze brbljanja, pravilnost izgovora glasova i jezični razvoj.
Duda stvara prepreku prolasku zračne struje tijekom glasovne proizvodnje te govor i brbljanje s njom u ustima mogu dovesti do usvajanja pogrešnih govornih mehanizama. Kada dijete brblja ili govori, potrebno je dudu izvaditi iz usta.
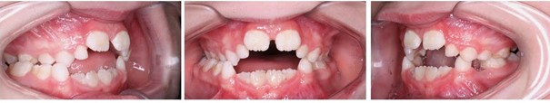
Istraživanje Američkog dentalnog udruženja pokazalo je kako dugotrajno korištenje dude varalice često uzrokuje dentalne probleme poput otvorenog ili krivog zagriza. Zbog stalnog pritiska na kosti lica nepravilno se razvijaju prednji dijelovi gornje i donje vilice. Prednji zubi se ne dodiruju tijekom zagriza, odnosno između njih postoji razmak. Otvoreni zagriz mijenja izgled dječjih usta, ali i ozbiljno utječe na izgovor glasova.


Predugo korištenje dude varalice ima izravan utjecaj na izgovor glasova S, Z, C, Š, Ž, Č, Ć, DŽ, Đ, L, R i LJ. Zbog otvorenog zagriza pri izgovoru glasova jezik „bježi“ između gornjih i donjih zuba.
Svjetska zdravstvena organizacija potvrdila je da dugotrajno korištenje dude varalice može dovesti do češćih upala uha (otitis media). Učestale upale uha u mlađoj dobi mogu utjecati na sposobnost slušnog uočavanja glasova i dovesti do kašnjenja u razvoju govora i jezika.
Preporučuje se da nakon navršenih godinu i pol dijete više ne koristi dudu kako bi se spriječio negativan utjecaj na razvoj govornog aparata i samog govora. Prilikom odvikavanja važno je postepeno smanjiti učestalost i vrijeme korištenja dude.